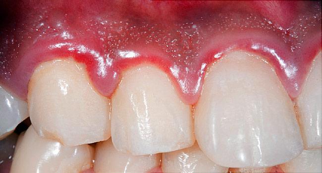
Bọc răng sứ bị viêm lợi, đau nướu – nguyên nhân và cách xử lý?

in Sức Khỏe & Làm Đẹp