Lấy cao răng là một bước quan trọng giúp bảo vệ sức khỏe răng miệng. Tuy nhiên, nhiều người thắc mắc liệu có nên đánh răng ngay sau khi lấy cao răng hay không. Việc này có ảnh hưởng gì đến răng và nướu? Hãy cùng tìm hiểu câu trả lời khoa học trong bài viết này.
Mục lục
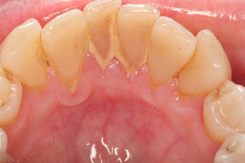
1. Những tác động của việc lấy cao răng lên răng và nướu

Lấy cao răng là một thủ thuật nha khoa an toàn, nhưng vẫn có một số tác động nhất định mà người bệnh cần lưu ý:
Tác động đến răng:
Khi cao răng được loại bỏ, bề mặt răng sẽ trở nên nhẵn hơn nhưng cũng có thể gây ra cảm giác ê buốt nhẹ, đặc biệt ở những người có răng nhạy cảm hoặc men răng mỏng.
Nếu trước đó cao răng tích tụ quá dày, sau khi lấy có thể có cảm giác “răng bị thưa” do nướu dần trở lại trạng thái bình thường.
Tác động đến nướu:
Nếu cao răng bám nhiều dưới nướu, sau khi lấy có thể xảy ra tình trạng chảy máu nhẹ. Đây là phản ứng bình thường do nướu đang trong quá trình hồi phục.
Một số người có thể cảm thấy hơi đau hoặc kích ứng nướu trong vài ngày đầu, nhưng triệu chứng này sẽ giảm dần.
2. Bao lâu nên lấy cao răng một lần?

Tần suất lấy cao răng phù hợp phụ thuộc vào tình trạng răng miệng của từng người, nhưng trung bình, bạn nên lấy cao răng định kỳ 3 – 6 tháng/lần. Nếu bạn có nhiều mảng bám, hút thuốc lá hoặc thường xuyên sử dụng cà phê, trà đậm, thời gian có thể rút ngắn hơn. Đối với những trường hợp có bệnh lý nha chu hoặc viêm nướu, nha sĩ có thể khuyến nghị làm sạch cao răng thường xuyên hơn để kiểm soát tình trạng viêm nhiễm.
Việc lấy cao răng không chỉ giúp loại bỏ mảng bám cứng đầu mà còn góp phần quan trọng trong việc phòng ngừa các bệnh lý răng miệng như viêm nướu, viêm nha chu và hôi miệng. Vì vậy, bạn không nên chủ quan mà bỏ qua bước chăm sóc răng miệng này.
3. Cảm giác sau khi lấy cao răng: Những điều bình thường và bất thường
Sau khi lấy cao răng, cảm giác của mỗi người có thể khác nhau tùy vào mức độ nhạy cảm của răng và tình trạng sức khỏe răng miệng trước đó.
Những biểu hiện bình thường:
- Ê buốt nhẹ, đặc biệt khi ăn đồ nóng, lạnh hoặc chua.
- Chảy máu nhẹ ở viền nướu, thường kéo dài trong vài giờ đầu.
- Cảm giác răng sạch hơn, bề mặt răng trơn láng hơn.
Những dấu hiệu bất thường cần lưu ý:
- Chảy máu kéo dài nhiều ngày không dứt.
- Đau nhức dữ dội không thuyên giảm.
- Nướu bị sưng tấy hoặc xuất hiện mủ.
Trong trường hợp có bất kỳ dấu hiệu bất thường nào, bạn nên liên hệ ngay với bác sĩ nha khoa để được kiểm tra và xử lý kịp thời.
4. Có nên đánh răng ngay sau khi lấy cao răng?

Câu trả lời là KHÔNG NÊN đánh răng ngay sau khi lấy cao răng. Dưới góc độ khoa học, việc đánh răng ngay lập tức có thể gây tổn thương nướu và làm tăng cảm giác ê buốt răng.
Vì sao không nên đánh răng ngay sau khi lấy cao răng?
Nướu còn nhạy cảm và dễ tổn thương
Trong quá trình lấy cao răng, đặc biệt là khi cao răng bám sâu dưới nướu, mô nướu có thể bị kích thích nhẹ và cần thời gian để hồi phục. Việc chải răng ngay có thể gây trầy xước, chảy máu hoặc viêm nướu.
Răng dễ bị ê buốt hơn bình thường: Cao răng lâu ngày tạo thành một lớp che chắn trên răng. Khi lớp này bị loại bỏ, bề mặt chân răng trở nên nhạy cảm hơn với nhiệt độ nóng, lạnh hoặc các tác động cơ học như đánh răng.
Nguy cơ gây kích ứng nếu dùng kem đánh răng chứa chất tẩy mạnh: Một số loại kem đánh răng chứa hạt mài mòn hoặc chất tẩy trắng có thể khiến răng ê buốt nhiều hơn sau khi lấy cao răng.
Bạn có thể đánh răng sau ít nhất 6 giờ, nhưng tốt nhất là sau 24 giờ, khi nướu đã ổn định hơn.
Khi đánh răng, hãy chọn bàn chải lông mềm, chải nhẹ nhàng theo chuyển động tròn, tránh tác động mạnh vào vùng nướu.
Cách chăm sóc răng miệng sau khi lấy cao răng
- Súc miệng bằng nước muối sinh lý hoặc nước súc miệng dịu nhẹ để làm sạch khoang miệng mà không gây kích ứng.
- Hạn chế ăn đồ quá nóng, lạnh hoặc chua để tránh kích thích răng.
- Uống nhiều nước để giúp làm sạch vi khuẩn tự nhiên trong miệng.
Hỏi đáp: Có nên tự lấy cao răng tại nhà không?
5. Những điều cần tránh sau khi lấy cao răng
5.1. Các thực phẩm nên kiêng để bảo vệ răng
Sau khi lấy cao răng, men răng và nướu có thể nhạy cảm hơn, vì vậy bạn nên tránh các thực phẩm sau để bảo vệ răng:
- Thực phẩm quá nóng hoặc quá lạnh: Dễ gây ê buốt răng.
- Đồ ăn cứng, dai: Có thể làm tổn thương nướu răng vừa được làm sạch.
- Thực phẩm chứa nhiều đường và axit: Như nước ngọt có ga, kẹo, chanh… có thể làm mòn men răng.
- Đồ uống có cồn: Gây khô miệng, ảnh hưởng đến quá trình tái khoáng của răng.
5.2. Hút thuốc lá và uống cà phê có ảnh hưởng gì không?
Hút thuốc lá: Nicotine và các hóa chất trong thuốc lá có thể làm răng nhanh ố vàng, ảnh hưởng đến sức khỏe nướu. Ngoài ra, hút thuốc cũng làm giảm khả năng lành thương của mô nướu.
Uống cà phê: Chứa nhiều tannin, có thể khiến răng bị xỉn màu nhanh hơn sau khi lấy cao răng. Nếu uống, bạn nên súc miệng ngay sau đó để hạn chế vết ố.
5.3. Có nên dùng nước súc miệng ngay sau khi lấy cao răng?
Sau khi lấy cao răng, nướu răng có thể nhạy cảm, việc sử dụng nước súc miệng ngay có thể gây kích ứng. Nếu cần làm sạch khoang miệng, bạn có thể:
Súc miệng nhẹ nhàng với nước muối sinh lý hoặc nước ấm.
Tránh các loại nước súc miệng có cồn vì có thể gây xót và làm khô miệng.
Sau 24 giờ, bạn có thể sử dụng nước súc miệng chuyên dụng theo chỉ dẫn của nha sĩ.



