Khi mang thai, cơ thể người phụ nữ có nhiều thay đổi, trong đó có cả sức khỏe răng miệng. Nhiều mẹ bầu lo lắng không biết liệu lấy cao răng trong thời kỳ này có an toàn hay không, có ảnh hưởng đến thai nhi không? Trên thực tế, lấy cao răng là một thủ thuật nha khoa đơn giản, không xâm lấn và được khuyến khích để giúp mẹ bầu ngăn ngừa viêm nướu, viêm nha chu – những vấn đề răng miệng có thể ảnh hưởng đến cả mẹ và bé. Hãy cùng tìm hiểu kỹ hơn về vấn đề này qua bài viết dưới đây!
Mục lục
- 1. Ảnh hưởng của cao răng đến sức khỏe của phụ nữ mang thai
- 1.1. Gây viêm nướu thai kỳ
- 1.2. Tăng nguy cơ viêm nha chu
- 1.3. Làm tăng nguy cơ sinh non và trẻ nhẹ cân
- 1.4. Ảnh hưởng đến hệ tiêu hóa của mẹ bầu
- 1.5. Dễ làm nặng thêm tình trạng ốm nghén
- 1.6. Gia tăng nguy cơ sâu răng và nhiễm trùng răng miệng
- 1.7. Tăng nguy cơ mắc bệnh tim mạch
- 1.8. Ảnh hưởng đến sức khỏe của em bé sau sinh
- 2. Bà bầu có thể lấy cao răng khi mang thai không?
1. Ảnh hưởng của cao răng đến sức khỏe của phụ nữ mang thai
Cao răng không chỉ ảnh hưởng đến sức khỏe răng miệng mà còn có thể gây ra nhiều vấn đề nghiêm trọng đối với sức khỏe tổng thể của mẹ bầu và thai nhi. Dưới đây là những ảnh hưởng cụ thể mà cao răng có thể gây ra trong thai kỳ:
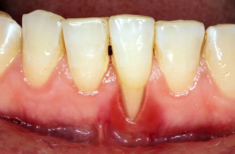
1.1. Gây viêm nướu thai kỳ

- Khi mang thai, nội tiết tố estrogen và progesterone tăng cao, làm cho nướu trở nên nhạy cảm hơn với vi khuẩn.
- Cao răng là nơi tích tụ vi khuẩn, có thể dẫn đến viêm nướu, gây sưng đỏ, chảy máu chân răng và đau nhức.
- Nếu không được xử lý kịp thời, viêm nướu có thể tiến triển thành viêm nha chu.
1.2. Tăng nguy cơ viêm nha chu
- Viêm nha chu là tình trạng viêm nhiễm nghiêm trọng của nướu và mô nâng đỡ răng do vi khuẩn tích tụ trong cao răng.
- Viêm nha chu không chỉ làm răng yếu đi, dễ lung lay mà còn có thể ảnh hưởng đến sức khỏe toàn thân của mẹ bầu.
- Nhiều nghiên cứu cho thấy viêm nha chu có thể làm tăng nguy cơ sinh non và trẻ nhẹ cân.
1.3. Làm tăng nguy cơ sinh non và trẻ nhẹ cân
- Vi khuẩn từ cao răng có thể xâm nhập vào máu, kích thích sản xuất prostaglandin – một chất có thể gây co bóp tử cung và dẫn đến sinh non.
- Mẹ bầu bị viêm nha chu nặng có nguy cơ sinh con nhẹ cân cao hơn so với những bà mẹ có sức khỏe răng miệng tốt.
- Thai nhi có cân nặng thấp khi sinh có thể đối mặt với nhiều vấn đề sức khỏe trong tương lai như suy dinh dưỡng, hệ miễn dịch yếu, khó phát triển toàn diện.
1.4. Ảnh hưởng đến hệ tiêu hóa của mẹ bầu
- Cao răng chứa vi khuẩn có thể gây ra hôi miệng, làm mẹ bầu cảm thấy khó chịu, chán ăn và ảnh hưởng đến quá trình tiêu hóa.
- Vi khuẩn từ cao răng cũng có thể làm tăng nguy cơ nhiễm trùng dạ dày hoặc đường ruột khi mẹ bầu vô tình nuốt phải trong quá trình ăn uống.
1.5. Dễ làm nặng thêm tình trạng ốm nghén
- Hơi thở có mùi do cao răng và viêm nướu có thể làm trầm trọng hơn cảm giác buồn nôn, đặc biệt là trong tam cá nguyệt thứ nhất.
- Mẹ bầu dễ bị kích thích nôn mửa khi đánh răng, dẫn đến việc vệ sinh răng miệng kém hơn, làm tình trạng cao răng trở nên nghiêm trọng hơn.
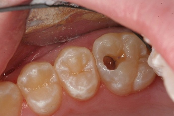
1.6. Gia tăng nguy cơ sâu răng và nhiễm trùng răng miệng

- Cao răng là nơi trú ngụ của vi khuẩn gây sâu răng, làm tăng nguy cơ hình thành lỗ sâu trên răng.
- Khi răng bị sâu nặng mà không được điều trị, vi khuẩn có thể lây lan vào tủy răng, gây viêm tủy hoặc áp-xe răng, ảnh hưởng đến sức khỏe của mẹ và bé.
1.7. Tăng nguy cơ mắc bệnh tim mạch
- Nhiều nghiên cứu cho thấy vi khuẩn từ viêm nha chu (liên quan đến cao răng) có thể đi vào máu, làm tăng nguy cơ viêm nhiễm mạch máu, gây ảnh hưởng đến tim mạch.
- Khi mang thai, hệ tuần hoàn của mẹ bầu làm việc với cường độ cao hơn, vì vậy bất kỳ vấn đề viêm nhiễm nào cũng có thể ảnh hưởng đến sức khỏe tim mạch.
1.8. Ảnh hưởng đến sức khỏe của em bé sau sinh
- Nếu mẹ bầu bị bệnh răng miệng nghiêm trọng trong thai kỳ, con sinh ra có nguy cơ cao mắc bệnh sâu răng sớm do vi khuẩn từ mẹ truyền sang qua quá trình bú mẹ hoặc tiếp xúc gần gũi.
- Hệ miễn dịch của trẻ sơ sinh còn yếu, nên nếu mẹ bầu không kiểm soát vi khuẩn từ cao răng, con có thể bị ảnh hưởng đến sức khỏe răng miệng ngay từ nhỏ.
Đọc thêm: Tìm hiểu mức độ nguy hiểm của cao răng độ 3
2. Bà bầu có thể lấy cao răng khi mang thai không?

Câu trả lời là: Hoàn toàn có thể!
Lấy cao răng là một thủ thuật nha khoa đơn giản, an toàn và không gây ảnh hưởng đến thai nhi. Trên thực tế, các chuyên gia khuyến khích phụ nữ mang thai nên lấy cao răng định kỳ để giữ vệ sinh răng miệng và ngăn ngừa các bệnh lý nguy hiểm như viêm nướu thai kỳ, viêm nha chu, vốn có thể ảnh hưởng đến cả mẹ và bé.
Một số lưu ý khi lấy cao răng cho bà bầu
- Báo trước cho nha sĩ về tình trạng thai kỳ để có sự chuẩn bị tốt nhất.
- Chọn phòng khám nha khoa uy tín, có thiết bị vô trùng và bác sĩ giàu kinh nghiệm.
- Không nên quá lo lắng vì lấy cao răng là thủ thuật an toàn, không đau đớn.
- Duy trì thói quen vệ sinh răng miệng tốt sau khi lấy cao răng để ngăn ngừa vi khuẩn tích tụ trở lại.
Bà bầu hoàn toàn có thể và nên lấy cao răng để giữ gìn sức khỏe răng miệng và phòng ngừa các bệnh lý ảnh hưởng đến thai nhi. Đây là một thủ thuật đơn giản, an toàn và được các nha sĩ khuyến khích trong thai kỳ. Nếu có bất kỳ thắc mắc nào, mẹ bầu nên tham khảo ý kiến nha sĩ để có giải pháp phù hợp nhất.



